عندما ذهب رجل برازيلي إلى الطبيب يشكو من آلام أسفل الظهر، تفاجأ أطباؤه بعدم وجود كليتين لديه، بل ثلاث، وهي حالة نادرة جدا.
ولمعرفة سبب الألم الشديد للرجل البالغ من العمر 38 عاما، أجرى الأطباء في مستشفى "دو ريم" في ساو باولو بالبرازيل، فحصا بالأشعة المقطعية لتقييم المنطقة، وفقا لتقرير الحالة الذي نشر يوم الأربعاء 6 مايو، في مجلة نيو إنغلاند الطبية The New England Journal of Medicine.
أظهر الفحص أن الرجل يعاني من انزلاق غضروفي أو الانقراص، وهي حالة شائعة نسبيا يتحرك فيها جزء من قرص يشبه الوسادة بين الفقرات الشوكية من مكانه.
ولكن القرص المنفتق لم يكن هو الذي لفت انتباه الأطباء، حيث أنهم لاحظوا أن الرجل لديه ميزة تشريحية غير عادية.
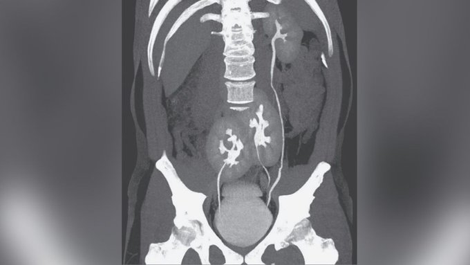
وقال التقرير إنه بدلا من الكليتين المعتادتين اللتين يتم رؤيتهما لدى كل شخص طبيعي، كان لدى الرجل ثلاث كلى: كلية ذات مظهر طبيعي على جانبه الأيسر وكليتين منصهرتين تقعان بالقرب من الحوض.
ومن النادر وجود ثلاث كلى، حيث تم الإبلاغ عن أقل من 100 حالة في الأدبيات الطبية، وفقا لتقرير 2013 لحالة مماثلة نُشرت في The Internet Journal of Radiology. ويُعتقد أن الحالة تنشأ أثناء التطور الجنيني، عندما تنقسم بنية تشكل عادة كلية واحدة إلى قسمين.ولم يكن لدى الرجل أي أعراض لمشكلة في الكلى، وبدا أن الأعضاء تعمل بشكل طبيعي.
وقال مؤلفو تقرير The New England Journal of Medicine، لأن الحالة لا تسبب عادة أعراضا، فلا يعرف الناس أنهم مصابون بها إلا إذا تم اكتشافها عن طريق الصدفة من خلال الاختبارات الطبية غير ذات الصلة.
ولم يكن الرجل بحاجة إلى أي رعاية طبية لكليته الإضافية. وقال التقرير إنه تلقى بالفعل مسكنات عن طريق الفم لآلام الظهر.
المصدر: لايف ساينس

